Decizia chirurgicală în patologia cotului la sportivii tineri: când soluția personalizată face diferența

La sportivii tineri, patologiile de cot pot deveni limitative nu atât prin severitatea inițială, cât prin deciziile chirurgicale luate în grabă. Pseudartroza de apofiză olecraniană este o situație rară, dar cu impact funcțional major, mai ales în sporturile de contact.

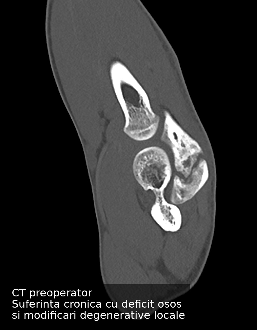
Pacientul a trecut printr-o suferință prelungită de aproape un an, perioadă în care durerile au progresat, iar forța la nivelul cotului a scăzut treptat. Sportivii sunt obișnuiți să funcționeze cu durere, iar în acest caz activitatea competițională a fost continuată în ciuda degradării progresive a funcției. La momentul primei evaluări, situația ajunsese într-un stadiu avansat. Traumatismele repetate specifice judo-ului au împiedicat maturizarea cartilajului de creștere în os, apofiza olecraniană rămânând separată de restul ulnei, cu apariția unui deficit osos vizibil radiologic.

Provocarea principală a fost reprezentată de deficitul osos asociat și de riscul unei fixări rigide clasice, care ar fi presupus aproape sigur o a doua intervenție pentru îndepărtarea materialului de osteosinteză. Pentru un atlet activ în competiții internaționale, acest lucru înseamnă nu doar timp pierdut, ci și un risc suplimentar pentru cot pe termen lung.

Am ales o soluție de fixare fără material metalic permanent, asociată cu augmentare osoasă, care să ofere stabilitate suficientă pentru vindecare, respectând în același timp biologia osului. Decizia a fost luată în urma unei discuții detaliate cu pacientul, în care obiectivul principal a fost revenirea la activitatea sportivă fără a compromite funcția cotului pe termen lung.

Evoluția postoperatorie a fost favorabilă, cu reluarea progresivă a activității și consolidare osoasă în curs. Revenirea în competiție a fost mai rapidă decât intervalele raportate frecvent pentru situații similare, fără a fi necesară o reintervenție. Vindecarea este încă în desfășurare, având în vedere deficitul osos inițial, însă obiectivele funcționale stabilite au fost atinse.

Acest caz ilustrează importanța deciziei chirurgicale personalizate. Dincolo de tehnică, diferența o face adaptarea soluției la pacient, obiectiv și context – principii care se aplică nu doar în cazuri rare, ci și în patologia ortopedică de zi cu zi.

Next
Next

De unde începe totul